
Toxoplasmosis is considered to be a leading cause of death attributed to foodborne illness in the United States. More than 30 million men, women, and children in the U.S. carry the Toxoplasma parasite, but very few have symptoms because the immune system usually keeps the parasite from causing illness.
However, women newly infected with Toxoplasma during pregnancy and anyone with a compromised immune system should be aware that toxoplasmosis can have severe consequences.
Toxoplasmosis is considered one of the Neglected Parasitic Infections, a group of five parasitic diseases that have been targeted by CDC for public health action.
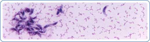
Image: Toxoplasma gondii in mouse ascitic fluid. Smear. Credit: DPDx
- Page last reviewed: March 1, 2017
- Page last updated: March 1, 2017
- Content source:
ShareCompartir